What Happens When Air Bubbles Enter The IV (IntraVenous) Line?

Table of Contents (click to expand)

An air bubble in a blood vessel causes an embolism. An embolism is an obstruction to the blood flow. It can range from asymptomatic to fatal consequences.

An air bubble in a blood vessel causes an embolism. An embolism is an obstruction to the blood flow. It can range from asymptomatic to fatal consequences.

A popular notion in movies and books is that stabbing a bad guy with an air-filled syringe results in an almost instantaneous – yet painful – death. It is at least painful enough to satiate the sadistic temperament of the victim. However, is death always the case, if ever? Has it ever piqued your interest as to whether the act of injecting an air-filled syringe is actually as dangerous and fatal as commonly portrayed?

The most common answer is that yes, air is harmful if introduced into our blood vessels, but our blood also has air, as does our lungs. Even so, people don’t keep dropping dead in the middle of the street, so what’s the real story?


Recommended Video for you:



Circulatory System

Our body has an enormous number of blood vessels. As is commonly known, these vessels transport blood to and from the organs, forming a complex network. They originate from the left side of the heart and then move to the different parts of the body. Here, the exchange of materials takes place. All the waste products generated by the organs and tissues is passed off to the blood, and the necessary materials required by the tissues to function properly are delivered by the blood.

The blood vessels then transport the metabolic waste to the organs that will eliminate them, and then trace back to the heart, but to the right side this time. Oxygen is one the most important requirements for life. Hence, the blood needs to constantly replenish its supply of it. The blood vessels proceed to the lungs, where they trade their CO2 for O2 and go back to the right side of the heart. From here, the cycle repeats.

Double circuit pulmonary & systemic
Circulation of blood. (Photo Credit : OpenStax College / Wikimedia Commons)

Embolism

Think of a road filled with moving cars, trucks and other vehicles. It’s a busy road with moving traffic, but then a vehicle breaks down in the middle of the road. What would then happen to all the vehicles behind it? They would get stuck! This is essentially what happens when any foreign substance enters our blood vessels. The road is the blood vessel, the cars and other vehicles on it are the blood cells, and the vehicle that breaks down is the foreign object. This is called an embolism. The foreign object can be anything from an air bubble or fat globule to a blood clot or microbe.

Injecting an air-filled syringe introduces an air bubble into our blood vessels, which obstructs the progress of our blood cells. However, it isn’t always fatal. The reason? In our above example, if the road had multiple lanes, and if the vehicle that broke down was a bike or cycle, the other vehicles could go around it. It wouldn’t cause much of a problem. However, if it was a single lane road or if the vehicle that broke down was a trailer, then the disruption would be major.

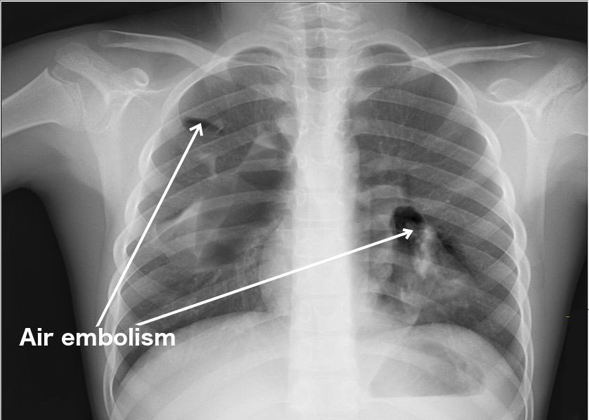
Air embolism in human body x ray sonography
(Photo Credit :Nevit Dilmen / Wikimedia Commons)

Similarly, depending on the size of the blood vessels and the air bubble, the effects would vary. Not all our blood vessels are the same size. Some vessels, like capillaries, have a very thin diameter, just large enough for one line of cells to pass through. On the other hand, some of them are much wider, like the aorta.

Now, as we said before, our blood also contains oxygen, as do our lungs, but they don’t cause air embolisms. The reason behind this is that the oxygen in our blood is not free. It is bound to a component called hemoglobin, so it doesn’t cause any obstructions. This is also why small air bubbles are not always harmful, as they can be absorbed into the blood. It’s the bigger ones that can’t be absorbed that create the most problems.

Effects Of An Embolism

There are certain factors that decide how harmful or benign an air embolism will be. These are the size of the air bubble, the type of gas that causes the bubble, and its location. We already understand why the size of the bubble is so significant. Oxygen is not harmful, so it will not be as disastrous as a CO or NO2 bubble. These gases are naturally more harmful to us, so their presence in the blood would do much more damage.

Now, let’s look at an extremely important aspect of embolism – the location. Our body cannot function if any of our organs stop working, but some embolisms can cause more damage than others. These specifically are the brain, the heart and the lungs.

An embolism has the capacity to completely cut off the blood supply to a particular organ. Therefore, if it occurs in the blood vessels of the heart, it can potentially cause a heart attack. In the brain, it can cause a paralytic stroke or even brain death. In the lungs, it can cause a pulmonary embolism.

Damage caused due to air embolisms are worsened by the inflammatory response of the body to the bubble.

Therefore, yes, death by injecting an air-filled syringe is possible, but it won’t mean death in every case. The effect is dependent on a number of factors, and will vary, ranging from asymptomatic to fatal.


References (click to expand)
  1. Gordy, S., & Rowell, S. (2013). Vascular air embolism. International Journal of Critical Illness and Injury Science. Medknow.
  2. Gordy, S., & Rowell, S. (2013). Vascular air embolism. International Journal of Critical Illness and Injury Science. Medknow.
  3. Hwang, Y., & Kim, Y.-J. (2018, May 11). Retrograde Cerebral Venous Air Embolism on Susceptibility-Weighted Imaging. Canadian Journal of Neurological Sciences / Journal Canadien des Sciences Neurologiques. Cambridge University Press (CUP).
  4. Air embolism - www.aic.cuhk.edu.hk