Why Do We Zone Out And Daydream?

Table of Contents (click to expand)

Zoning out or daydreaming is when a person’s attention is shifted away from the task at hand to something internal that is usually not relevant to the primary task. It is difficult to determine what causes people to zone out, but it is hypothesized that it occurs when a person feels a slight, temporary disconnection from their primary task. Zoning out can be beneficial in some situations, like when it leads to creative breakthroughs, but it can also be harmful, like when it causes a person to forget the name of the person they are talking to.

We’ve all experienced it countless times in our lives; in fact, some people experience it dozens of times in a single day! You’re in the middle of talking to someone, and before you even realize it, you’re mentally making plans for the weekend!

While watching a movie or walking along the street, there are brief bursts of absent-mindedness, especially when there’s nothing interesting going on in front of you. In fact, you might drift into some other world while reading this article itself!

The question is – why do people drift off while in the middle of doing something? More importantly, is it a good thing or a bad thing?


Recommended Video for you:



What Is ‘Zoning Out’ Or Daydreaming?

Thanks to the term’s common usage, the majority of us already know what it is, or at least, what it feels like. If you fall in the minority on this one, this is what “zoning out” typically looks like:

Sad or bored little student girl zone out day dream
Photo Credit : syda productionss

That being said, there cannot possibly be a single picture that could portray what zoning out looks like, as there are practically infinite ways that a person might look when they’re not paying attention to the task at hand.

There are many ways to define ‘zoning out’, but to put it in the simplest terms, it can be considered a shift of one’s attention away from the task at hand to some internal information that is not usually relevant to the primary task.

There are many occasions when we zone out in a given day; for example, while reading a text, you might start thinking about the movie that you watched the day before. The primary task here is ‘texting’, and ideally, you should be absolutely focused on that. Instead, your mind wanders to a recently watched movie, which has no connection whatsoever to what you’re reading in the message. The mind wanders off to totally unrelated things at times, which is why this phenomenon is also called “mind-wandering”. It is referred to by some other names too, including “daydreaming” or “spacing out”.

Why Do We Zone Out In The First Place?

day-dream-zone-out-meme

Researchers have been unable to identify a particular reason behind zoning out, since there is no specific time or situation when it occurs. One can space out even while in the midst of the most interesting, engaging things, making it particularly difficult to determine what exactly causes people to temporarily step away from the seemingly gripping task at hand.

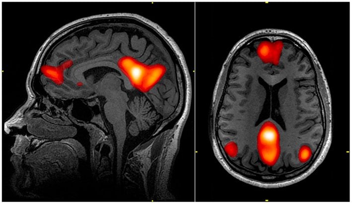
However, one thing that is common in all cases is that, although day-dreaming can potentially occur under any circumstance, it’s more likely to happen when a subject feels a slight, temporary disconnection from his primary task. Another hypothesis is that spacing out activates the Default Mode Network, a network of interacting brain regions that are mostly distinct from other areas of the brain, but are highly correlated to each other.

the DMN
Regions of the default mode network as visible in a fMRI scan (Image Credit: John Graner / Wikimedia Commons)

This part of the brain is activated when someone is at “wakeful rest”, i.e. not focused on what’s going on around them. The DMN is frequently activated when one thinks about their past or future, or when they are having a particularly introspective moment!

Part of why the default mode network has that name is because it activates by ‘default’ when an individual is not strongly involved in a given task. As you might have guessed, the DMN is negatively correlated with the attention networks of the brain. So, just because a person appears super-attentive doesn’t mean they’re actually paying attention.

Dreaming in class meme

A couple of researchers, including Jonathan W. Schooler and Jonathan Smallwood, a neuroscientist and a psychologist at the Max Planck Institute for Human Cognitive and Brain Sciences in Leipzig, Germany and the University of California, Santa Barbara, respectively, have presented a ‘decoupling hypothesis’, which claims that the brain ‘decouples’ attention from outward sensation, making the individual impervious to whatever’s happening externally. According to this theory, one observable trait of a ‘zoned out’ person is that his/her pupils will dilate/contract independent of their external environment.

Is Mind-wandering A Good Or Bad Thing?

Depending on the circumstances, it can be both good or bad. There have been a few studies (you can find the links in the ‘references’ section) that point in both directions when it comes to the effects of mind-wandering.

In a 2010 study published in the journal Science, it was found that not focusing on what we’re doing goes hand in hand with feeling unhappy, and that “the ability to think about what is not happening is a cognitive achievement that comes at an emotional cost.”

On the other hand, researchers Smallwood and Schooler disagree with the claim that mind-wandering can only be negative. In a 2012 study, they asked 4 groups of participants to complete a task requiring creativity; one of the groups did an activity that elicited mind-wandering before undertaking the test. As you might have guessed, the group that previously did the mind-wandering activity performed the best.

To conclude, while mind-wandering can be quite nasty in some situations (like forgetting the name of the person you are talking to or not paying attention to a question in an interview) and particularly dangerous in others (like while driving a vehicle or crossing a street), it is not necessarily a bad thing.

However, if done in leisurely situations (like when you’re taking a bath or stuck in a traffic jam), it can lead to creative breakthroughs and be incredibly beneficial for lifting your spirits, provided that you’re thinking about something good.

References (click to expand)
  1. Default mode network - Wikipedia. Wikipedia
  2. Why Do We Zone Out? | Live Science. Live Science
  3. Schooler, J. W., Smallwood, J., Christoff, K., Handy, T. C., Reichle, E. D., & Sayette, M. A. (2011, June). Meta-awareness, perceptual decoupling and the wandering mind. Trends in Cognitive Sciences. Elsevier BV.
  4. Schacter, D. L., Addis, D. R., Hassabis, D., Martin, V. C., Spreng, R. N., & Szpunar, K. K. (2012, November). The Future of Memory: Remembering, Imagining, and the Brain. Neuron. Elsevier BV.
  5. Mooneyham, B. W., & Schooler, J. W. (2013, March). The costs and benefits of mind-wandering: A review. Canadian Journal of Experimental Psychology / Revue canadienne de psychologie expérimentale. American Psychological Association (APA).
  6. Mrazek, M. D., Phillips, D. T., Franklin, M. S., Broadway, J. M., & Schooler, J. W. (2013). Young and restless: validation of the Mind-Wandering Questionnaire (MWQ) reveals disruptive impact of mind-wandering for youth. Frontiers in Psychology. Frontiers Media SA.